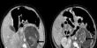
كشفت دورية "هونغ كونغ ميديكال" العلمية عن حالة طبية نادرة للغاية حدثت في نوفمبر 2010، عندما وُلدت طفلة وعثر الأطباء داخل أحشائها على جنينين يبلغا من العمر 8 و10 أسابيع.

وأوضحت الدورية العلمية أن وزن الجنينين، اللذان ظن الأطباء في بداية الأمر أنهما عبارة عن ورمين، بلغ أوقية وثلث أوقية، ولكنهما كانا يمتلكان 4 أطراف وعمود فقري وقفص صدري وأمعاء وشرج وحبل سري لكل منهما.

وأجرت الطفلة عملية جراحية ناجحة بعد أسبوعين من ولادتها للتخلص من الجنينين، وفقا لوسائل إعلام محلية.

ويطلق العلماء على هذه الحالة النادرة، التي جرى توثيقها 200 مرة فقط، اسم "جنين داخل جنين"، ويُعتقد أن تحدث مرة واحدة بين كل نصف مليون حالة ولادة حول العالم.

وتصنف منظمة الصحة العالمية هذه الحالة كونها إحدى أنواع مرض السرطان تسمى "mature teratoma"، في حين يزعم باحثون أنها تمثل دليلا على نظرية أخرى متعلقة بوفاة التوائم.

وكانت حالة مماثلة قد حازت الكثير من اهتماما الأطباء بعد العثور على جنين متكلس عمره 44 عاما داخل عجوز تبلغ من العمر 84 عاما في البرازيل. 

استعمال المضامين بموجب بند 27 أ لقانون الحقوق الأدبية لسنة 2007، يرجى ارسال رسالة الى:
bokra.editor@gmail.com